El término médico para referirse a tener un “corazón grande” es cardiomegalia, y se trata de una señal de que el corazón está trabajando más de lo habitual, no de una enfermedad en sí misma, sino un indicio de posibles condiciones subyacentes.
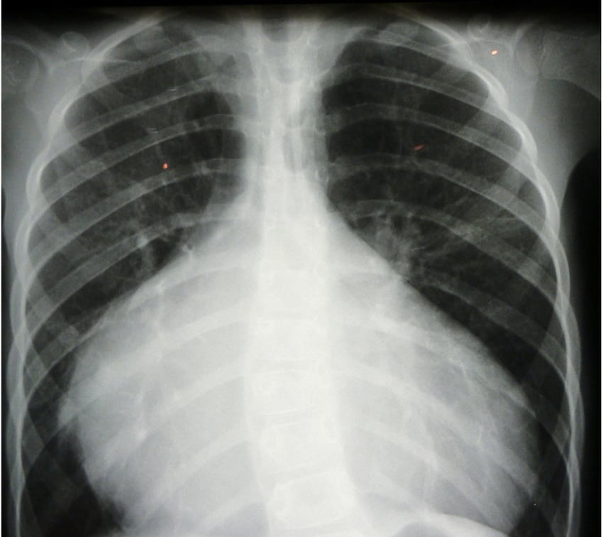
En muchos casos, la cardiomegalia no presenta síntomas visibles y se detecta de forma incidental mediante estudios como radiografías de tórax.
No obstante, cuando afecta la capacidad de bombeo del corazón, los pacientes podrían experimentar falta de aliento, fatiga, palpitaciones, edema (hinchazón de piernas o abdomen) o arritmias.
Las causas son múltiples y abarcan desde enfermedades crónicas hasta condiciones transitorias. Algunas de las más comunes incluyen:
Hipertensión arterial y enfermedad de las arterias coronarias.
Cardiomiopatías (difusas, dilatadas, hipertróficas), enfermedades de las válvulas cardiacas y defectos congénitos.
Enfermedades pulmonares como hipertensión pulmonar o EPOC.
Factores hereditarios, infecciones, infiltraciones (como amiloidosis o sarcoidosis), consumo excesivo de alcohol o drogas, y complicaciones del embarazo.
Curiosamente, también puede ser un hallazgo fisiológico, como ocurre con algunos atletas: el síndrome del corazón de atleta o “athlete’s heart”, donde el corazón se agranda como adaptación al ejercicio prolongado y no representa una patología.
El diagnóstico inicial se realiza mediante estudios de imagen como radiografía de tórax, ecocardiograma, resonancia magnética o tomografía, acompañados de evaluación funcional cardiaca.
El pronóstico depende de la causa subyacente. En casos transitorios—como en embarazo o infecciones—la cardiomegalia puede revertirse.
En cambio, cuando está asociada a condiciones crónicas como hipertensión o enfermedad coronaria, suele requerirse manejo continuo y puede conducir a complicaciones como insuficiencia cardiaca, arritmias, formación de coágulos, accidentes cerebrovasculares o incluso muerte súbita.
El tratamiento se enfoca en corregir o controlar la causa raíz: incluye medicación (antihipertensivos, diuréticos, anticoagulantes, etc.), intervenciones quirúrgicas (reemplazo valvular, bypass coronario), dispositivos implantables (marcapasos, desfibrilador, dispositivos de asistencia ventricular) e incluso trasplante en casos avanzados.
Estilo de vida saludable—como dieta, ejercicio moderado, manejo de presión arterial y abandono de tabaco o alcohol—también es fundamental.
Fuente: Externa
![]()
![]()


